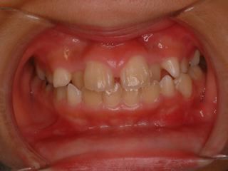
上顎の左右2番目 の歯にご注目下さい!! 上の歯が下の歯よりも内側に入り

込んでいるのがお分かりでしょうか!? こういう歯並びは、『早期接触』と

言って、本来噛む位置よりも先に内側に入り込んでいる歯が下の歯に当たって

しまい、違う悪い咬み合わせに誘導されてしまうことがあります。

 

 この状態を放置しておくと、2番目の歯がドンドン内側に入ってしまったり、

顎や歯列の変形を起こします。ひどい場合には、お顔の左右対称性を損なうこと

さえあります。

 早期治療を行っていれば、機能的な問題の解除だけで済みますが、放置したが

故に歯列や骨格的なズレを起こしてしまうと、後に本格的な矯正治療に移行する

際に治療が困難になります。もしお顔の左右がズレてしまうと、お口の中の矯正

治療だけでは、残念ながら改善出来ないとお考え下さい。

お問合せ・ご相談

お電話でのお問合せ・ご相談はこちら
076-245-8755

診療時間:午前9:00~12:00
午後2:30~6:30
(土曜日は月2回 午前のみ)
休診日:水曜日,日曜日,祝日
(学会等により変更あり)

お気軽にお問合せください

お電話でのお問合せ・相談予約

076-245-8755

<受付時間>
午前9:00~12:00
午後2:30~6:30
(土曜日は月2回 午前のみ)
※水曜日,日曜日,祝日
(学会等により変更あり)

医療法人社団
しおはま矯正歯科

住所

〒921-8178
石川県金沢市寺地1-20-20

アクセス

JR金沢駅より
33番で20分
伏見台停留所・徒歩3分

診療時間

午前9:00~12:00
午後2:30~6:30
(土曜日は月2回 午前のみ)

休診日

水曜日,日曜日,祝日
(学会等により変更あり)

プロフィール