非抜歯か抜歯か、これは我々矯正医にとっても永遠のテーマだと思います。

勿論、我々もやみくもに歯を抜く訳ではなく、出来る限り抜かない方向で考えま

すが、その一方で後先考えずに無責任に抜かない治療を行う訳でもありません。

 では、この判断は何によって決められるかと言うと、1)ガタガタの量, 

2)前歯の傾きの度合い, 3)口元の突出感の有無、主にこの3つが基準と

なります。

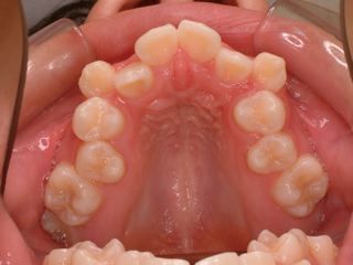
DSCF0035.jpg

 まず、ガタガタの量がわずかであれば、歯列のアーチを少し広げるなどの

方法で非抜歯の可能性は高くなりますが、写真のように歯列に入りきらない

歯が左右で1本ずつあるような場合は、抜歯をお考えになった方が良いで

しょう!? しばしば『顎を広げて...?』と言うお話を聞かれるかも知れ

ませんが、人の骨格と言うのはそんなに劇的に変えられるものではありません。



 また『歯を奥にずらして...?』と言うお話もよく話題に登場しますが、

6歳臼歯の後ろには12歳臼歯が萌えてくる場所が必要であり、さらに12歳

臼歯の後ろには、親知らずが控えてる事がほとんどです。

つまり奥のスペースと言うのは、夢のような魔法のスペースではない訳です。



 次に前歯の傾斜の度合いですが、きれいな歯並びにするために現在の前歯の

角度をどう動かせば良いかを考えます。例えば、現状ですごく内側に傾斜して

いるのであれば外側に動かす事が出来るので、これは大きめの歯列を形成する

ことに繋がり、非抜歯の可能性が高くなります。逆に、現状でかなり外側に

傾斜しているのであれば内側に動かさなければいけないので、これは歯列の

アーチが小さくなるので抜歯の可能性が高くなります。前歯の角度と言うのは、

安定する一定の幅があり、これを無視した極端な状態で歯を並べても、安定

する咬み合わせは望めません。



 最後に、口元の突出感は前歯の角度と相関します。前歯を外に傾斜させれば

口元も突出し、逆に内側に倒せば口元は下がります。

しかし、ガタガタの有無に関わらず、もしも口元が出ているのを気にされて

いらっしゃるのであれば、抜歯をして後ろに下げるスペースを確保しないと、

前歯すなわち口元を下げる事は出来ません。


 無理な非抜歯治療で、一見歯並びは良くなったかのように見えても、口元が
ひょっとこのように突き出してたら、どう思われますか? そういう結果は、
患者さんにとっても望ましくないですよね!? 
 当院では、患者さんとディスカッションし、口元の美しさを追求しつつも後々

まで安定する咬み合わせを目指し、治療計画を立案します。



お問合せ・ご相談

お電話でのお問合せ・ご相談はこちら
076-245-8755

診療時間:午前9:00~12:00
午後2:30~6:30
(土曜日は月2回 午前のみ)
休診日:水曜日,日曜日,祝日
(学会等により変更あり)

お気軽にお問合せください

お電話でのお問合せ・相談予約

076-245-8755

<受付時間>
午前9:00~12:00
午後2:30~6:30
(土曜日は月2回 午前のみ)
※水曜日,日曜日,祝日
(学会等により変更あり)

医療法人社団
しおはま矯正歯科

住所

〒921-8178
石川県金沢市寺地1-20-20

アクセス

JR金沢駅より
33番で20分
伏見台停留所・徒歩3分

診療時間

午前9:00~12:00
午後2:30~6:30
(土曜日は月2回 午前のみ)

休診日

水曜日,日曜日,祝日
(学会等により変更あり)

プロフィール